Veneers
VENEERS – KERAMISCHE VERBLENDSCHALEN
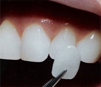
Als Veneer bezeichnet man eine dünne lichtdurchlässige Keramikschale, die auf die sichtbare Fläche des Zahnes aufgeklebt wird. So kann man Zahnlücken schließen, Schiefstellungen korrigieren, Farbveränderungen vornehmen oder frakturierte Ecken wieder herstellen und kann so Ihre Zähne in neuem Glanz erstrahlen lassen. Nicht immer muss man deshalb den Zahn gleich mit einer Krone versorgen. Veneers kommen dabei hauptsächlich im Frontzahnbereich zum Einsatz und werden in zwei Sitzungen hergestellt:
- Es wird eine hauchdünne Schicht von ca. 0,5 mm vom Zahnschmelz abgetragen und der Zahn wird danach präzise abgeformt.
- Die Verblendschale wird mittels modernster Adhäsivtechnik auf die Zahnoberfläche geklebt.
Daraus ergeben sich die 2 großen Vorteile von Veneers: Zum einen ein äußerst geringer Verlust an Zahnsubstanz durch minimales Beschleifen sowie eine hervorrragende, dauerhafte Ästhetik, denn Keramik verfärbt sich auch nach Jahren nicht.
